 
			 
					 ناظورسيتي: متابعة
					 
					 
					 
كشفت دراسة حديثة أن الذكاء الاصطناعي أصبح قادرًا على التنبؤ بموعد ولادة الأطفال بدقة تصل إلى 95٪، مما يمثل تطورًا مهمًا في مجال الرعاية الصحية للأمهات والأجنة.
					 
					 
ووفقًا للطريقة التقليدية المعروفة باسم “قاعدة نيغل”، يقدر الأطباء موعد ولادة الجنين بإضافة 40 أسبوعًا إلى اليوم الأول من آخر دورة شهرية للأم، على افتراض أن دورة المرأة تستمر 28 يومًا وأن الإباضة تحدث في اليوم الرابع عشر. ورغم شيوع هذه الطريقة، فإنها لا تنطبق على كثير من النساء، ما يجعل الدقة محدودة، حيث يولد في المملكة المتحدة فقط 4٪ من الأطفال في الموعد المتوقع، بحسب صحيفة “ديلي ميل”.
					 
				 
			 كشفت دراسة حديثة أن الذكاء الاصطناعي أصبح قادرًا على التنبؤ بموعد ولادة الأطفال بدقة تصل إلى 95٪، مما يمثل تطورًا مهمًا في مجال الرعاية الصحية للأمهات والأجنة.
ووفقًا للطريقة التقليدية المعروفة باسم “قاعدة نيغل”، يقدر الأطباء موعد ولادة الجنين بإضافة 40 أسبوعًا إلى اليوم الأول من آخر دورة شهرية للأم، على افتراض أن دورة المرأة تستمر 28 يومًا وأن الإباضة تحدث في اليوم الرابع عشر. ورغم شيوع هذه الطريقة، فإنها لا تنطبق على كثير من النساء، ما يجعل الدقة محدودة، حيث يولد في المملكة المتحدة فقط 4٪ من الأطفال في الموعد المتوقع، بحسب صحيفة “ديلي ميل”.
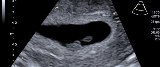
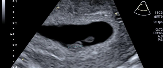
					 واستخدم فريق من الباحثين الأميركيين الذكاء الاصطناعي لتحليل صور الموجات فوق الصوتية، مستندين إلى أكثر من مليوني صورة لنساء أنجبن بين عامي 2017 و2020. وقد أظهر البرنامج، المسمى Ultrasound AI، القدرة على التنبؤ بموعد الولادة في حالات الحمل المكتمل بدقة 95٪، بينما بلغت دقة التنبؤ بالولادة المبكرة 72٪، دون الحاجة لمعلومات إضافية مثل التاريخ الطبي للأم أو القياسات السريرية. أما التنبؤ بجميع حالات الولادة، بما فيها المبكرة، فقد وصل إلى 92٪.
					 
					 
					 
وعلق الدكتور جون أوبراين، مدير قسم طب الأمومة والأجنة بجامعة كنتاكي، على هذه النتائج قائلاً: “الذكاء الاصطناعي بات يصل إلى داخل الرحم، ليساعد الأطباء على التنبؤ بموعد الولادة بدقة، وهو ما يساهم في تحسين الرعاية الصحية للأمهات على مستوى العالم”.
					 
				 
			 وعلق الدكتور جون أوبراين، مدير قسم طب الأمومة والأجنة بجامعة كنتاكي، على هذه النتائج قائلاً: “الذكاء الاصطناعي بات يصل إلى داخل الرحم، ليساعد الأطباء على التنبؤ بموعد الولادة بدقة، وهو ما يساهم في تحسين الرعاية الصحية للأمهات على مستوى العالم”.

 تخمينات الأطباء تقادمت.. الذكاء الاصطناعي يتنبأ بموعد ولادة الأطفال بدقة عالية
 
				 تخمينات الأطباء تقادمت.. الذكاء الاصطناعي يتنبأ بموعد ولادة الأطفال بدقة عالية
			  
