ناظور سيتي: مريم محو
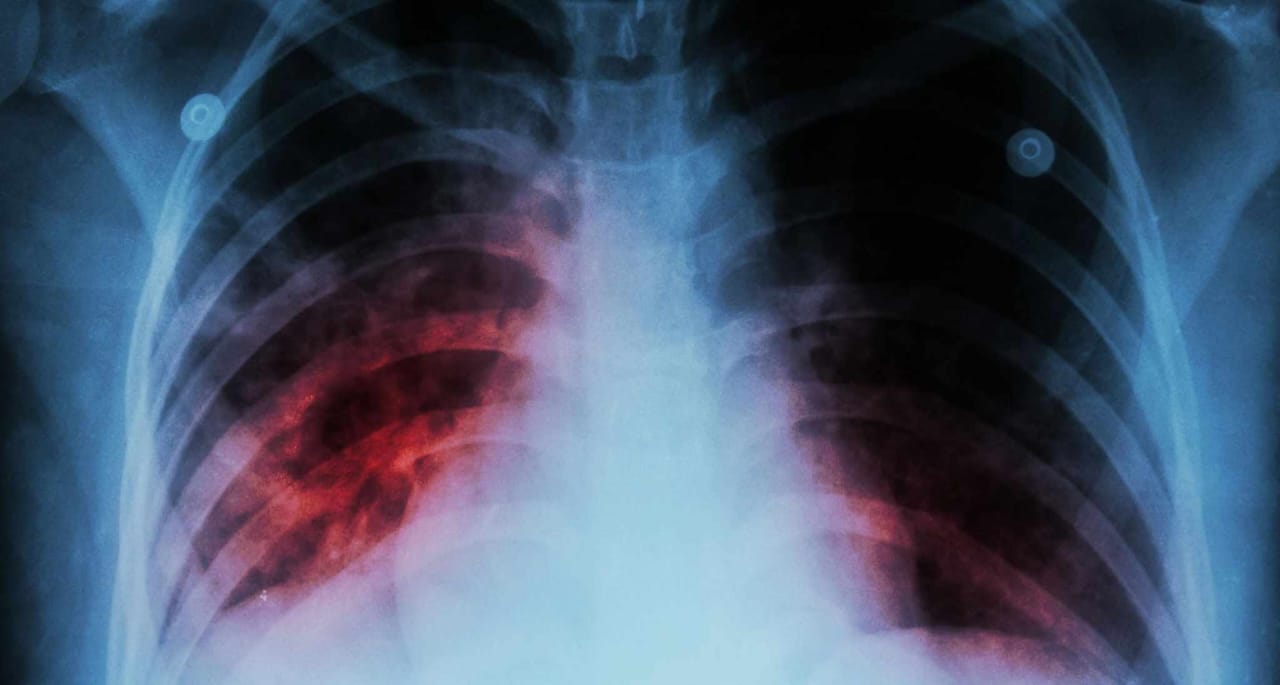
انتشرت خلال الأيام الأخيرة، مقاطع فيديو على وسائط التواصل الاجتماعي، لمجموعة من الأشخاص، يحذرون فيها من تفشي مرض السل في المغرب.
وفي هذا الصدد، أكد الطيب حمضي، طبيب وباحث في السياسات والنظم الصحية، خطورة داء السل، موردا أنه مرض قاتل ويصيب ما يقارب 96 شخصا يوميا في المغرب.
انتشرت خلال الأيام الأخيرة، مقاطع فيديو على وسائط التواصل الاجتماعي، لمجموعة من الأشخاص، يحذرون فيها من تفشي مرض السل في المغرب.
وفي هذا الصدد، أكد الطيب حمضي، طبيب وباحث في السياسات والنظم الصحية، خطورة داء السل، موردا أنه مرض قاتل ويصيب ما يقارب 96 شخصا يوميا في المغرب.
وأضاف حمضي في تصريح له لناظور سيتي، أن هذا الداء يودي بحياة تسع أشخاص يوميا في المغرب.
وحسب الباحث، فإن 15 في المئة من الحالات التي تصاب سنويا بهذا المرض، لا يتم اكتشافها ولا يتم تشخيصها، مثلما أن ثلثا حالات السل المقاوم للأدوية لا يتم تشخيصها، وهو ما يؤدي إلى حدوث مشكلة صحية عمومية وصفها بالخطيرة تتمثل في انتشار السل المقاوم للأدوية، يردف الباحث في السياسات والنظم الصحية.
وذكر المصدر، أن جهة طنجة تطوان الحسيمة، والرباط وسلا والقنيطرة وكذا الدار البيضاء وسطات، تعد من الجهات الأكثر تضررا من حيث عدد الإصابات.
وخلص الطبيب، إلى أنه يتعين للحد من تفشي الداء، أن يتم العمل على التوسع في استخدام اختبارات التشخيص السريع لتشخيص مرض السل بشكل سريع ومبكر والحد من انتشار الداء، مشددا على ان الدولة مسؤولة بشكل كامل على مواجهة المرض من خلال تأمينها لحق العلاج للأفراد وضمان سلامة المجتمع.
وحسب الباحث، فإن 15 في المئة من الحالات التي تصاب سنويا بهذا المرض، لا يتم اكتشافها ولا يتم تشخيصها، مثلما أن ثلثا حالات السل المقاوم للأدوية لا يتم تشخيصها، وهو ما يؤدي إلى حدوث مشكلة صحية عمومية وصفها بالخطيرة تتمثل في انتشار السل المقاوم للأدوية، يردف الباحث في السياسات والنظم الصحية.
وذكر المصدر، أن جهة طنجة تطوان الحسيمة، والرباط وسلا والقنيطرة وكذا الدار البيضاء وسطات، تعد من الجهات الأكثر تضررا من حيث عدد الإصابات.
وخلص الطبيب، إلى أنه يتعين للحد من تفشي الداء، أن يتم العمل على التوسع في استخدام اختبارات التشخيص السريع لتشخيص مرض السل بشكل سريع ومبكر والحد من انتشار الداء، مشددا على ان الدولة مسؤولة بشكل كامل على مواجهة المرض من خلال تأمينها لحق العلاج للأفراد وضمان سلامة المجتمع.

طبيب: السل يقتل 9 أشخاص يوميا بالمغرب والحسيمة من المناطق الأكثر تضررا
